成人股骨头坏死的诊治【37页】




标签: #股骨头坏死
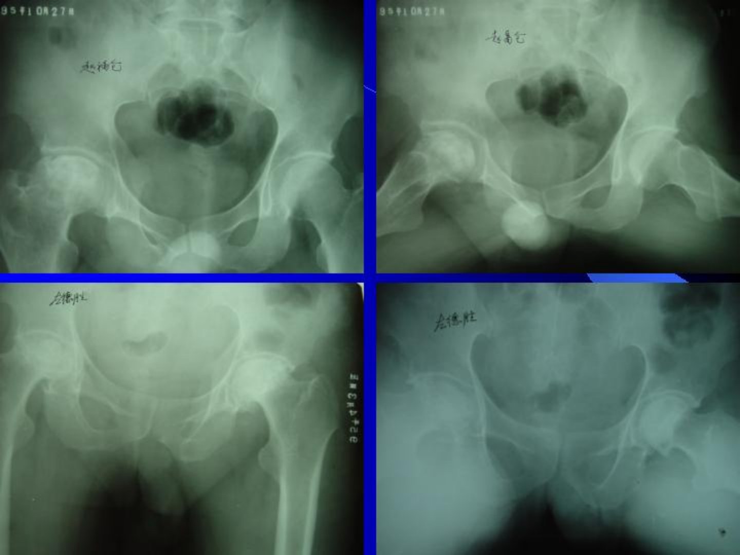
成人股骨头坏死的诊治摘要成人股骨头缺血性坏死(ANFH)是骨科常见病由多种因素导致股骨头血液供应破坏引发骨细胞等坏死。病因多样分创伤性(如股骨颈骨折等髋部创伤)、非创伤性(激素、酒精中毒最常见酒精性已居首位还有其他多种病因)和特发性三大类。临床表现上多为双侧发病有激素使用或长期酗酒史主要症状是髋部疼痛早期有压痛、4字试验阳性X线有特定表现后期症状加重、活动受限。诊断依赖病史、症状、体征及多种检查其中MRI是早期诊断最先进方法股骨头核心活检结果最为准确。临床分期对决定治疗方案很关键以往方法多样1997年世界骨循环研究学会设立国际骨坏死分期标准。治疗是难题非手术治疗包括停止使用激素、戒酒等一般治疗及对症处理。手术治疗方面髓芯减压术适用于部分期别;股骨转子间区截骨术适用于部分患者;带肌蒂或血管蒂骨瓣移植术适用于特定期别早期;人工关节置换术中股骨头表面置换术有适用人群但有缺点人工股骨头置换术因诸多缺点现已少用人工髋关节置换术是晚期有效治疗方法不同固定方式适用于不同年龄患者。
相关推荐
-
2025-10-10 999+
-
2025-10-10 999+
-
2025-10-10 999+
-
2025-10-10 999+
-
2025-10-10 999+
-
2025-10-10 999+
-
2025-10-10 999+
-
2025-10-10 999+
-
2025-10-10 999+
-
2025-10-10 999+