急腹症CT诊断 (东南大学临床医学院)【99页】
2025-11-14
999+
2.96MB
99 页
海报
侵权投诉
标签: #急腹症
摘要:
展开>>
收起<<
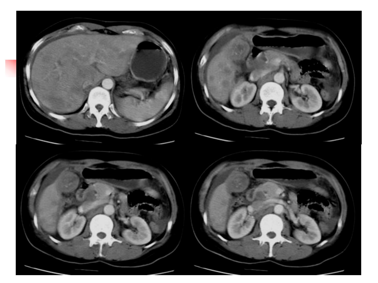
肾、盆腔、急腹症CT诊断摘要东南大学临床医学院对肾、盆腔、急腹症CT诊断展开研究。肾脏CT检查中平扫与增强各有特点正常肾脏CT解剖清晰。常见肾脏病CT诊断方面肾囊肿位于实质内单发或多发有明确诊断标准;多囊肾双侧发病呈蜂窝状;肾血管平滑肌脂肪瘤是常见良性肿瘤CT能显示脂肪密度;肾细胞癌起源于肾实质上皮细胞CT表现多样小肾癌易漏诊动脉扫描可提高诊断率;肾盂癌表现为肾盂肾盏内肿块。腹部外伤CT诊断无损伤肝、脾、肾外伤各有特征性CT表现。盆腔CT诊断中介绍了检查方法正常CT解剖包括男性前列腺、精囊及女性宫颈、子宫等。常见病变CT诊断有前列腺增生、前列腺癌、子宫肌瘤、卵巢癌、膀胱癌等CT对肿瘤分期、转移判断有重要价值。
相关推荐
-
ESD患者的护理【13页】
2025-11-02 999+ -
ERCP治疗胆总管结石的护理【63页】
2025-11-02 999+ -
ERCP治疗胆总管结石的护理【38页】
2025-11-02 999+ -
ERCP术后护理【20页】
2025-11-02 999+ -
ERCP术后鼻胆管引流的护理 ppt课件【16页】
2025-11-02 999+ -
ERCP的护理PPT课件【24页】
2025-11-02 999+ -
ERAS(护理)-医学精品【40页】
2025-11-02 999+ -
ECMO的护理(胡应炉)【36页】
2025-11-02 999+ -
DSA术前及术后护理【35页】
2025-11-02 999+ -
2022术后肺栓塞病人的护理ppt【32页】
2025-11-02 999+

