泌尿系统CT检查【53页】
2025-11-14
999+
1.28MB
53 页
海报
侵权投诉
摘要:
展开>>
收起<<
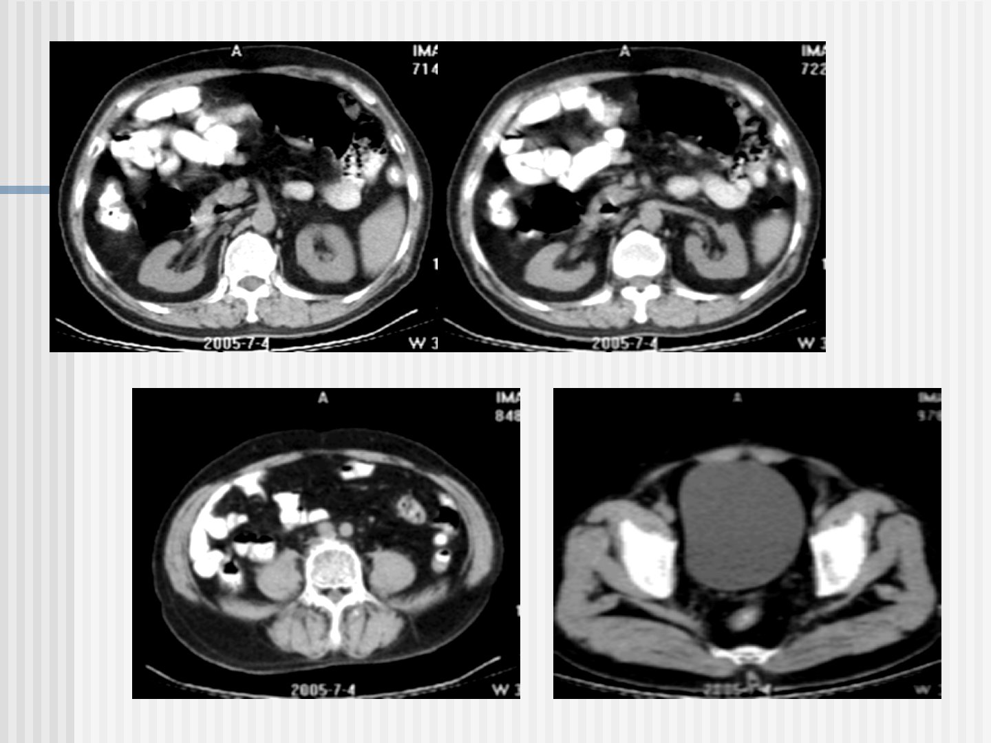
作为医生对肾脏的CT检查与表现总结如下:平扫检查中静脉内快速团注对比剂后进行多期扫描可观察肾皮、髓质强化程度随时间的变化以及肾盂和输尿管的充盈情况。正常肾脏在造影剂皮质髓质排泄期和分泌期会显示特定表现。增强扫描可显示病灶早期强化并能在膀胱腔内对比剂衬托下进一步观察病变形态。CTA检查可无创性显示肾动脉。肾脏平扫显示为脊柱两侧圆形或椭圆形软组织密度边缘光滑。强化表现取决于造影剂用量、注射速度和扫描时间早期肾血管和肾皮质明显强化髓质呈低密度2分钟后髓质强化程度类似或高于皮质。输尿管和膀胱的显示与充盈程度有关。肾脏常见异常密度包括不同肿块如囊性病变、良恶性肿瘤等。肾脏还可能出现大小、形态、位置异常如高密度结石、肿瘤等。输尿管和膀胱也可能出现异常如输尿管扩张积水、膀胱肿块等。此外还存在肾缺如、异位肾等先天异常以及肾结核、肾囊肿等疾病。
相关推荐
-
ESD患者的护理【13页】
2025-11-02 999+ -
ERCP治疗胆总管结石的护理【63页】
2025-11-02 999+ -
ERCP治疗胆总管结石的护理【38页】
2025-11-02 999+ -
ERCP术后护理【20页】
2025-11-02 999+ -
ERCP术后鼻胆管引流的护理 ppt课件【16页】
2025-11-02 999+ -
ERCP的护理PPT课件【24页】
2025-11-02 999+ -
ERAS(护理)-医学精品【40页】
2025-11-02 999+ -
ECMO的护理(胡应炉)【36页】
2025-11-02 999+ -
DSA术前及术后护理【35页】
2025-11-02 999+ -
2022术后肺栓塞病人的护理ppt【32页】
2025-11-02 999+

