脾脏超声诊断【22页】
2025-11-14
999+
1.64MB
22 页
海报
侵权投诉
摘要:
展开>>
收起<<
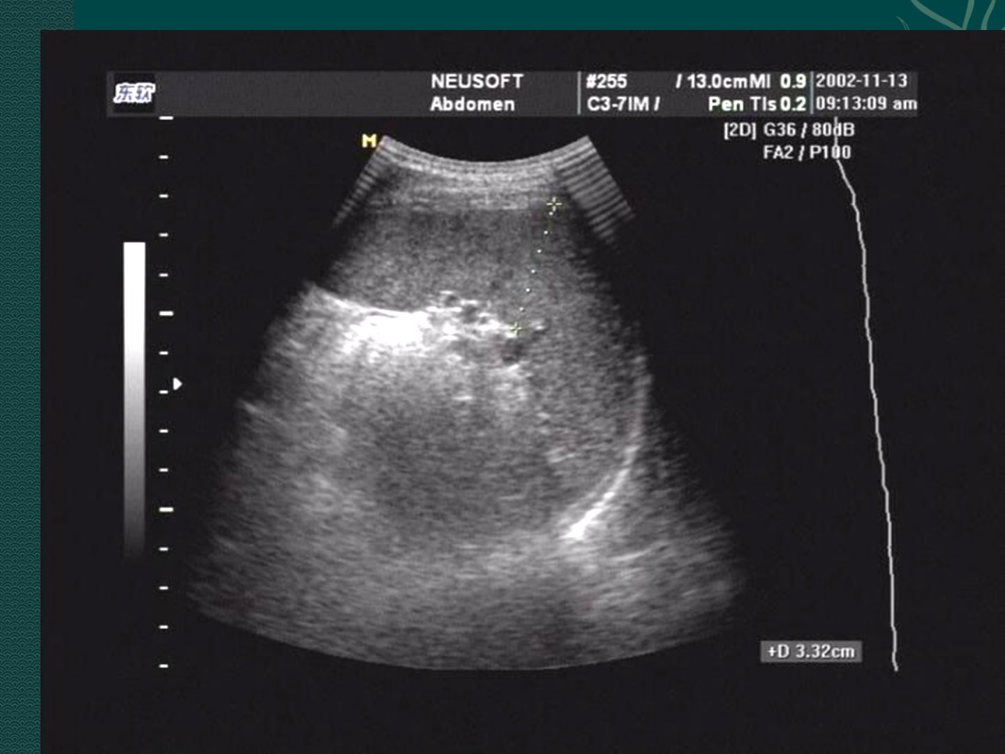
脾脏超声诊断要点如下:正常脾脏肋间呈半月形冠状切面呈三角形包膜光滑脏面有切迹脾实质呈均匀细密中等回声厚径约4cm长径约6cm。脾脏肿大多为继发性二维超声显像即可诊断。脾脏囊肿分真、假性超声可见脾实质内圆形、椭圆形无回声区后方回声增强。脾脏原发性肿瘤少见分良、恶性良性以血管瘤多见表现为边界清晰的偏高回声团有“网络状”表现;恶性以淋巴瘤多见表现为单个或多个低回声结节。脾梗塞超声表现为脾内低回声区形态不规则回声不均。脾脓肿少见常继发于感染超声初期表现为病灶边界不清内部回声不均质中期液化坏死后表现为无回声区。脾外伤分包膜下血肿和脾破裂前者包膜下扁长形无回声区易漏诊;后者包膜不完整形态失常易漏诊小裂缝状破裂。
相关推荐
-
ESD患者的护理【13页】
2025-11-02 999+ -
ERCP治疗胆总管结石的护理【63页】
2025-11-02 999+ -
ERCP治疗胆总管结石的护理【38页】
2025-11-02 999+ -
ERCP术后护理【20页】
2025-11-02 999+ -
ERCP术后鼻胆管引流的护理 ppt课件【16页】
2025-11-02 999+ -
ERCP的护理PPT课件【24页】
2025-11-02 999+ -
ERAS(护理)-医学精品【40页】
2025-11-02 999+ -
ECMO的护理(胡应炉)【36页】
2025-11-02 999+ -
DSA术前及术后护理【35页】
2025-11-02 999+ -
2022术后肺栓塞病人的护理ppt【32页】
2025-11-02 999+

