食管胃的常见疾病X线表现【63页】
2025-11-13
999+
1.53MB
63 页
海报
侵权投诉
摘要:
展开>>
收起<<
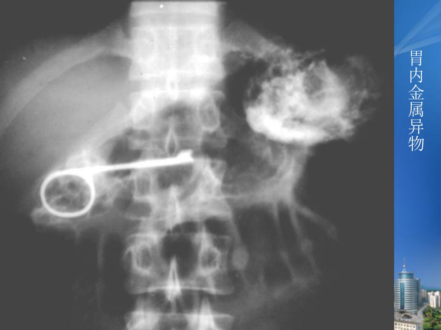
食管胃的常见疾病X线表现胃内金属异物食管癌(一) 临床特征1、 我国常见恶性肿瘤之一,占全消化道肿瘤的53.6%2、 有一定的地区性3、 发病年龄常见于40岁以上,其中50-60岁为发病高峰4、 男性多于女性,男女比例为5∶1左右5、 主要症状是进行性吞咽困难。(一) 病理好发于食管中段,多为鳞状细胞癌,其次是食管下段,以腺癌为主(占少数)早期食管癌:癌肿位于粘膜及粘膜下层,瘤体一般在3cm以内,周围及远处无转移。中晚期食管癌:癌肿侵入肌层,外膜及以外有局部及远处淋巴转移。髓质型:病变范围广,累及食管全层,腔内腔外同时生长,管壁增厚,管腔狭窄蕈伞型:亦称增生型、息肉型、结节型。病变累及管壁...
相关推荐
-
ESD患者的护理【13页】
2025-11-02 999+ -
ERCP治疗胆总管结石的护理【63页】
2025-11-02 999+ -
ERCP治疗胆总管结石的护理【38页】
2025-11-02 999+ -
ERCP术后护理【20页】
2025-11-02 999+ -
ERCP术后鼻胆管引流的护理 ppt课件【16页】
2025-11-02 999+ -
ERCP的护理PPT课件【24页】
2025-11-02 999+ -
ERAS(护理)-医学精品【40页】
2025-11-02 999+ -
ECMO的护理(胡应炉)【36页】
2025-11-02 999+ -
DSA术前及术后护理【35页】
2025-11-02 999+ -
2022术后肺栓塞病人的护理ppt【32页】
2025-11-02 999+

