脂肪肝病例讲解【9页】

2025-10-10
999+
295.82KB
9 页
海报
侵权投诉



标签: #脂肪肝
摘要:
展开>>
收起<<
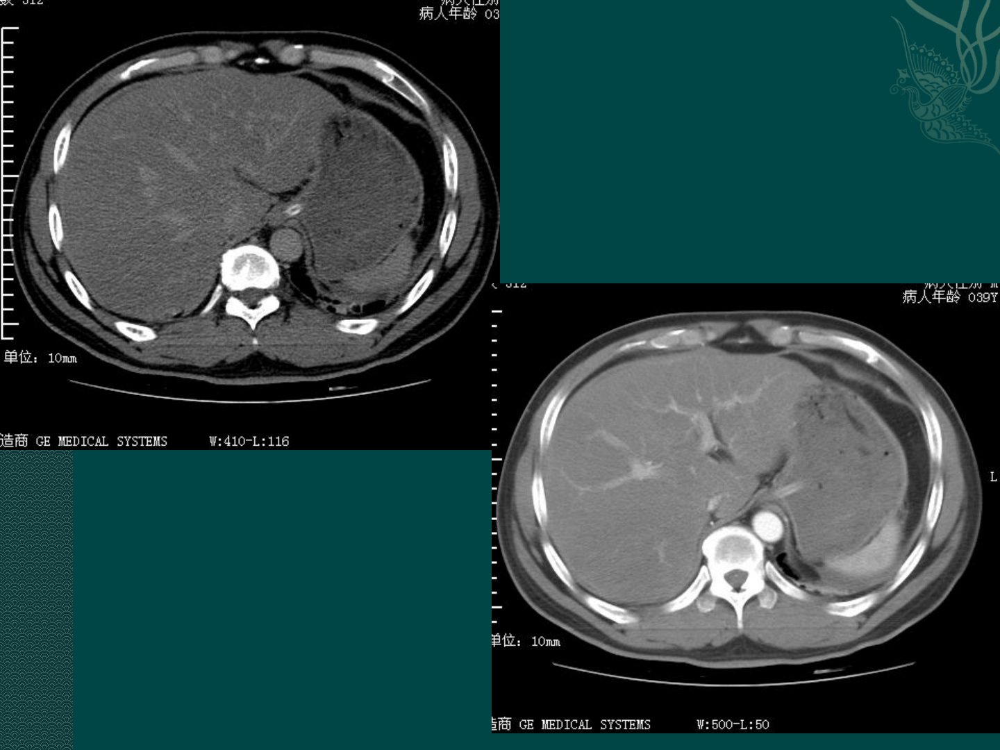
患者39岁男性有长期饮酒史体检发现肝功异常。查体显示腹软肝肋下5CM质软无压痛。临床印象诊断考虑为酒精性脂肪肝。可选影像检查方法包括腹部B超、CT、MRI其中首选腹部B超。影像学表现方面腹部平扫显示肝包膜紧绷圆钝全肝脏密度降低且较脾脏低肝内血管呈相对高密度影;增强CT则显示肝脏强化较脾脏差肝内血管显现更清晰。影像学诊断为弥漫性脂肪肝。诊断主要依据包括患者长期饮酒史、查体结果及影像学表现。此病变需与肝硬化鉴别肝硬化CT表现为肝轮廓凹凸不平、肝门干裂增宽且CTA可显示门脉高压继发的侧支循环增粗扭曲。
相关推荐
-
2025-10-10 999+
-
2025-10-10 999+
-
2025-10-10 999+
-
2025-10-10 999+
-
2025-10-10 999+
-
2025-10-10 999+
-
2025-10-10 999+
-
2025-10-10 999+
-
2025-10-10 999+
-
2025-10-10 999+