后交叉韧带胫骨止点撕脱骨折镜下复位固定技术【19页】

2025-10-07
999+
6.34MB
19 页
海报
侵权投诉



标签: #骨折
摘要:
展开>>
收起<<
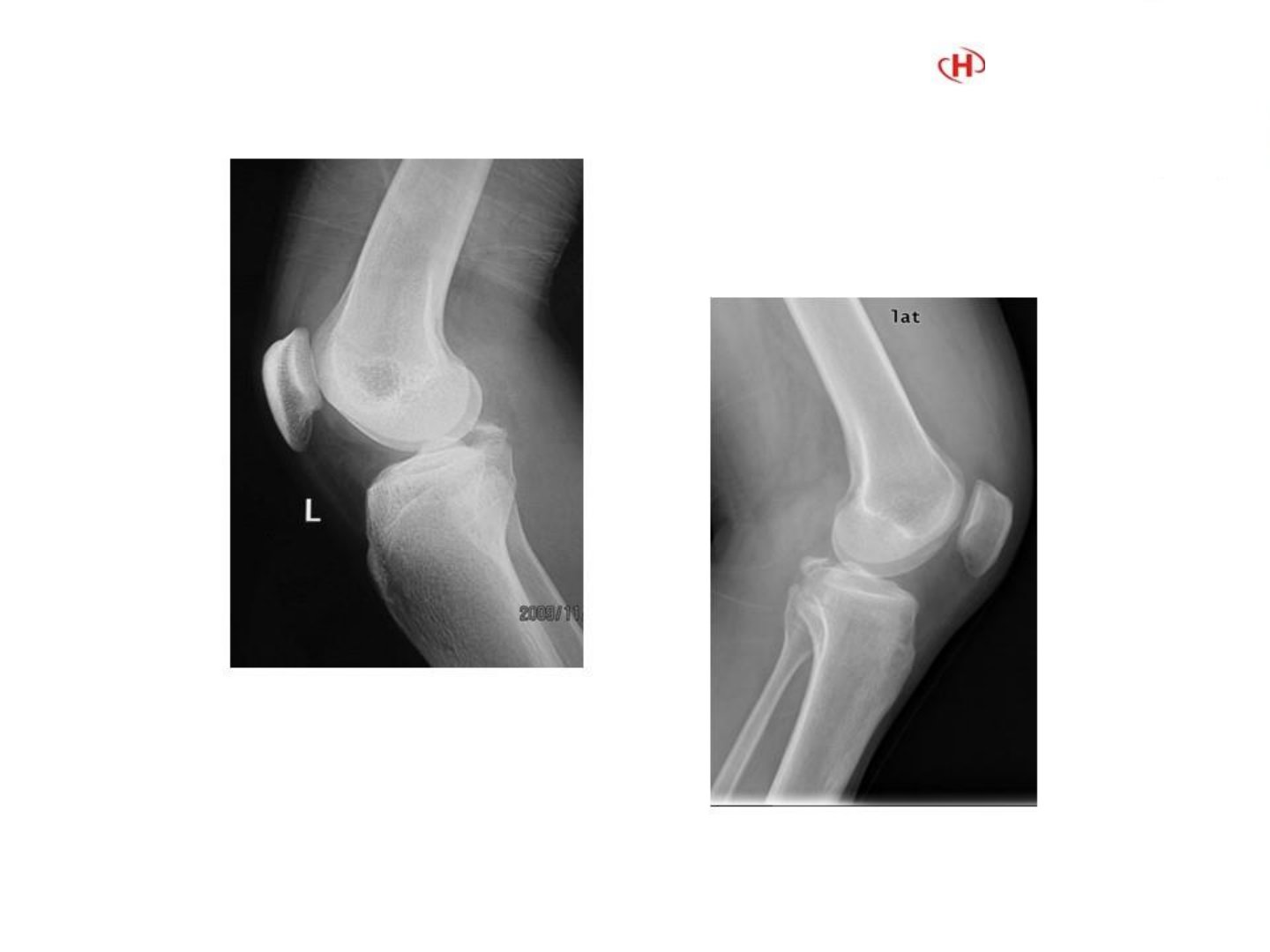
后交叉韧带胫骨止点撕脱骨折镜下复位固定技术摘要后交叉韧带胫骨止点撕脱骨折是膝关节常见损伤传统治疗手段存在一定局限性而镜下复位固定技术凭借其微创、精准等优势逐渐成为重要治疗方式。该技术借助关节镜设备能清晰呈现关节内结构精准定位骨折部位。术中医生通过小切口插入关节镜及配套器械对撕脱的骨折块进行细致复位恢复后交叉韧带胫骨止点的正常解剖结构。随后采用合适的内固定材料如空心螺钉、可吸收螺钉或带线锚钉等将骨折块牢固固定。此技术不仅减少了手术创伤降低术后感染等并发症风险还能促进骨折愈合及关节功能恢复。患者术后可早期进行康复训练有效缩短康复周期提高生活质量在临床上为后交叉韧带胫骨止点撕脱骨折患者提供了更优的治疗选择。
相关推荐
-
2025-10-10 999+
-
2025-10-10 999+
-
2025-10-10 999+
-
2025-10-10 999+
-
2025-10-10 999+
-
2025-10-10 999+
-
2025-10-10 999+
-
2025-10-10 999+
-
2025-10-10 999+
-
2025-10-10 999+